本项目复现相关论文,基于CNN-RNN框架实现医学影像报告自动生成,用印第安纳大学胸部X射线数据集,采两阶段方案。实验显示生成结果有医学语义,Paddle实现效果优于原论文,略逊于Pytorch版本。
☞☞☞AI 智能聊天, 问答助手, AI 智能搜索, 免费无限量使用 DeepSeek R1 模型☜☜☜

本项目对论文《Multimodal Recurrent Model with Attention for Automated Radiology Report Generation》进行详细解读并使用Paddle进行复现。
随着近年来深度学习的飞速发展,深度学习在医疗行业展现出巨大的发展潜力。因此,如果能通过深度学习的方法,使用计算机代替医生进行机械的影像报告撰写工作,这样既避免了经验不足的医生在阅片诊断中产生的误诊情况,又使得更多的资深医生可以从繁重的重复性工作中解脱出来,将更多的时间投入病人的诊治中去。
医学影像报告自动生成是近年来计算机与医疗图像新兴的交叉方向之一。目前,影像报告自动生成模型主要借鉴了机器翻译领域的 Encoder-Decoder 框架,利用卷积 神经网络(Convolutional Neural Network, CNN)对图像特征进行提取进而利用循环神经网络(Recurrent Neural Network, RNN)来生成影像的文本描述
应用场景
场景1:医院影像科医生人手不足,引入该技术后,阅片写报告时间大大降低
场景2:某偏远医院引入该技术后,疾病诊断率大大提高
场景3:引入医院大厅后,病人可以便利的通过机器预先了解影像的解释,避免重复询问。
场景4:引入该技术后,更多的资深医生有时间投入疑难疾病的研究诊断中。
在项目『IMAGE-CAPTION』基于CNN-RNN的影像报告生成-PRE中,我们介绍了基于CNN-RNN框架的影像报告生成项目。
并在印第安纳大学胸部 X 射线数据集进行了实现。该项目中,由于选择的模型为简单CNN-RNN结构,生成的效果较为一般。
在本项目中基于MICCAI2018中提出的全新结构在该数据集上再次进行实现,对齐论文指标及展示生成效果。
印第安纳大学胸部 X 射线集合 (IU X 射线) 是一组胸部 X 射线图像及其相应的诊断报告。该数据集包含 7,470 对图像和报告(6470:500:500)。 每个报告由以下部分组成:印象、发现、标签、比较和指示。平均每张图像关联2.2个标签,5.7个句子,每个句子包含6.5个单词。
由于使用Findings生成的句子长度较短,且丰富性不足。
因此该类模型常用的方案是分成两个阶段,先生成主题词,再根据主题词生成报告。
参考代码:
https://gitee.com/Dane_work/MedicalReportGeneration/
https://github.com/tengfeixue-victor/Medical-Report-Generation
计算机辅助放射学报告生成系统可以大大减轻放射科医生的工作量,并帮助他们做出决策。
为了给医学图像生成详细的段落描述,本文提出了一种新的生成模型,可以自动生成完整的放射学报告。
该模型将预训练的Resnet152模型与基于注意力机制的LSTM结构结合起来。
它不仅能够产生高度概括的主题词,而且能够逐句产生详细的描述性结果来支持主题词。
此外,提出的多模态模型将图像编码和生成的句子结合起来,构建一个注意力输入模块来指导下一个句子的生成。
主要的创新点:
使用了先生成主题(Impression),再根据主题生成报告(Findings)的两阶段生成模型。
提出一种递归的Attention模型提高生成结果的一致性。

该指标为自然语言处理经典评价指标,网络上已经有非常丰富的实现及公式推理,如果展开描述会使项目冗余。
因此本项目中仅简单介绍思想,更多的资料请读者自行查阅。
class EncoderCNN(nn.Layer):
def __init__(self):
"""Load the pretrained ResNet-152, and extract local and global features"""
super(EncoderCNN, self).__init__() # load pretrained model from ImageNet
resnet = models.resnet152(pretrained=True)
local_features_mod = list(resnet.children())[:8]
global_features_mod = list(resnet.children())[8]
self.resnet_local = nn.Sequential(*local_features_mod)
self.resnet_global = nn.Sequential(global_features_mod) def forward(self, frontal_image):
"""Extract feature vectors from input images"""
# Does not train convolutional layers
with paddle.no_grad():
local_features = self.resnet_local(frontal_image)
global_features = self.resnet_global(local_features).squeeze() return global_featuresclass Atten_Sen_Decoder(nn.Layer):
def __init__(self, embed_size, hidden_size, vocab_size, decoder_num_layers, sen_enco_num_layers,
num_global_features, num_regions, num_conv1d_out=1024, teach_forcing_rate=1.0, max_seq_length=15,
max_sentence_num=7, dropout_rate=0):
"""Set the hyper-parameters and build the layers for attention decoder"""
super(Atten_Sen_Decoder, self).__init__()
self.embed_h = nn.Linear(num_global_features + num_conv1d_out * sen_enco_num_layers,
hidden_size * decoder_num_layers)
self.embed_c = nn.Linear(num_global_features + num_conv1d_out * sen_enco_num_layers,
hidden_size * decoder_num_layers)
self.lstm = nn.LSTM(embed_size, hidden_size, decoder_num_layers, dropout=dropout_rate)
self.word_embed = nn.Embedding(vocab_size, embed_size)
self.linear = nn.Linear(hidden_size, vocab_size)
self.dropout = nn.Dropout(dropout_rate)
self.sentence_encoder = Sen_Encoder(embed_size, vocab_size, max_seq_length, num_conv1d_out)
self.decoder_num_layers = decoder_num_layers
self.embed_size = embed_size
self.max_seq_length = max_seq_length
self.max_sentence_num = max_sentence_num
self.vocab_size = vocab_size
self.num_regions = num_regions
self.num_conv1d_out = num_conv1d_out
self.teach_forcing_rate = teach_forcing_rate def forward(self, global_features, topic_vector, findings, fin_lengths):
"""Generate findings"""
gt_packed, decoder_outputs_packed = None, None
last_input, last_state = self._combine_vis_text(global_features, topic_vector) # sentence recurrent loop
for num_sen in range(findings.shape[1]): # impressions embedding
fin_sen_embedded = self.word_embed(findings[:, num_sen, :])
decoder_input = paddle.concat((last_input, fin_sen_embedded), axis=1) # The num of words for each sentence in the finding
fin_sen_lengths = fin_lengths[:, num_sen] if num_sen == 0:
gt_packed = findings[:, num_sen, :] else:
gt_packed = paddle.concat((gt_packed, findings[:, num_sen, :]), axis=0)
padded_outs, _ = self.lstm(decoder_input, last_state,sequence_length = fin_sen_lengths) #padded_outs, _ = pad_packed_sequence(out_lstm, batch_first=True)
fin_sen_outputs = F.log_softmax(self.dropout(self.linear(padded_outs)), axis=-1) if num_sen == 0:
decoder_outputs_packed = fin_sen_outputs else:
decoder_outputs_packed = paddle.concat((decoder_outputs_packed, fin_sen_outputs), axis=0)
predicted_sentences = paddle.argmax(fin_sen_outputs,axis = -1) if random.random() < self.teach_forcing_rate:
sen_vector = self.sentence_encoder(findings[:, num_sen, :]) else:
sen_vector = self.sentence_encoder(predicted_sentences)
last_input, last_state = self._combine_vis_text(global_features, sen_vector) # img add —— length changed
return gt_packed, decoder_outputs_packed[:,:-1,:] def sampler(self, global_features, topic_vector, max_single_sen_len, max_sen_num, ini_decoder_state=None):
""""Generate findings in the testing process"""
last_input, last_state = self._combine_vis_text(global_features, topic_vector) # The dimension of predicted_findings is denoted at the end
predicted_findings = [] # sentence recurrent loop
for num_sen in range(max_sen_num): # predicted sentences (indices), used for generating the preceding topic vector
predicted_single_sentence = [] # word recurrent loop
for time_step in range(max_single_sen_len):
decoder_output_t, decoder_state_t = self._word_step(last_input, last_state)
last_state = decoder_state_t
pre_indices = paddle.argmax(decoder_output_t,axis = -1)
pre_indices = pre_indices.unsqueeze(1)
predicted_single_sentence.append(pre_indices)
last_input = self.word_embed(pre_indices)
predicted_single_sentence = paddle.concat(predicted_single_sentence, axis=1)
sen_vector = self.sentence_encoder(predicted_single_sentence)
last_input, last_state = self._combine_vis_text(global_features, sen_vector)
predicted_single_sentence = predicted_single_sentence.unsqueeze(-1)
predicted_findings.append(predicted_single_sentence)
predicted_findings = paddle.concat(predicted_findings, axis=2)
predicted_findings = paddle.transpose(predicted_findings, perm=[0, 2, 1]) return predicted_findings def _combine_vis_text(self, global_features, sen_vec):
""" Combine visual features with semantic sentence vector to get hidden and cell state"""
ini_input = paddle.zeros([global_features.shape[0]],dtype='int64')
last_input = self.word_embed(ini_input).unsqueeze(1)
con_features = paddle.concat((global_features, sen_vec), axis=1)
h_stat = self.embed_h(con_features)
h_stat = paddle.transpose(paddle.reshape(h_stat,(h_stat.shape[0], self.decoder_num_layers, -1)),perm=[1, 0,2])
c_stat = self.embed_c(con_features)
c_stat = paddle.transpose(paddle.reshape(c_stat,(c_stat.shape[0], self.decoder_num_layers, -1)),perm=[1, 0,2])
last_state = (h_stat, c_stat) return last_input, last_state def _word_step(self, input_t, state_t):
"""generate sentence word by word"""
output_t, state_t = self.lstm(input_t, state_t)
out_t_squ = output_t.squeeze(1)
out_fc = F.log_softmax(self.linear(out_t_squ), axis=-1) return out_fc, state_tclass Impression_Decoder(nn.Layer):
def __init__(self, embed_size, hidden_size, vocab_size, num_layers, num_global_features, num_conv1d_out=1024,
teach_forcing_rate=0.5, max_seq_length=15, dropout_rate=0):
"""Set the hyper-parameters and build the layers for impression decoder"""
super(Impression_Decoder, self).__init__() # from frontal images
self.visual_embed = nn.Linear(num_global_features, embed_size)
self.word_embed = nn.Embedding(vocab_size, embed_size)
self.lstm = nn.LSTM(embed_size, hidden_size, num_layers, dropout=dropout_rate)
self.linear = nn.Linear(hidden_size, vocab_size)
self.dropout = nn.Dropout(dropout_rate)
self.sentence_encoder = Sen_Encoder(embed_size, vocab_size, max_seq_length, num_conv1d_out)
self.max_seq_length = max_seq_length
self.vocab_size = vocab_size
self.teach_forcing_rate = teach_forcing_rate
self.embed_size = embed_size
self.vocab_size = vocab_size
self.num_conv1d_out = num_conv1d_out def forward(self, global_features, impressions, imp_lengths):
"""Decode image feature vectors and generates the impression, and also global topic vector"""
vis_embeddings = self.visual_embed(global_features)
ini_input = vis_embeddings.unsqueeze(1) # impressions embedding
imp_embedded = self.word_embed(impressions)
decoder_input = paddle.concat((ini_input, imp_embedded), axis = 1) ####
padded_outs, _ = self.lstm(decoder_input,sequence_length = imp_lengths)
decoder_outputs = F.log_softmax(self.dropout(self.linear(padded_outs)), axis=-1)
predicted_sentences = paddle.argmax(decoder_outputs,axis = -1) if random.random() < self.teach_forcing_rate:
topic_vector = self.sentence_encoder(impressions) else:
topic_vector = self.sentence_encoder(predicted_sentences) return impressions, decoder_outputs[:,:-1,:], topic_vector def sampler(self, global_features, max_len, ini_decoder_state=None):
""""Generate the impression in the testing process"""
vis_embeddings = self.visual_embed(global_features)
ini_input = vis_embeddings.unsqueeze(1)
decoder_input_t = ini_input
decoder_state_t = ini_decoder_state
impression_ids = [] for i in range(max_len):
decoder_output_t, decoder_state_t = self._forward_step(decoder_input_t, decoder_state_t)
pre_indices = paddle.argmax(decoder_output_t,axis = -1)
pre_indices = pre_indices.unsqueeze(1)
impression_ids.append(pre_indices)
decoder_input_t = self.word_embed(pre_indices)
impression_ids = paddle.concat(impression_ids, axis=1)
topic_vector = self.sentence_encoder(impression_ids) return impression_ids, topic_vector def _forward_step(self, input_t, state_t):
"""Used in testing process to generate word by word for impression"""
output_t, state_t = self.lstm(input_t, state_t)
out_t_squ = output_t.squeeze(1)
out_fc = F.log_softmax(self.linear(out_t_squ), axis=-1) return out_fc, state_t# 解压数据集!unzip -oq /home/aistudio/data/data130561/NLMCXR_Frontal.zip -d /home/aistudio/work/IUdata/# 解压项目!unzip -oq /home/aistudio/data/data130561/code.zip -d /home/aistudio/work/
# numpy降级 解决警告!pip install -U numpy==1.19.2
Looking in indexes: https://pypi.tuna.tsinghua.edu.cn/simple Requirement already satisfied: numpy==1.19.2 in /opt/conda/envs/python35-paddle120-env/lib/python3.7/site-packages (1.19.2)
# 切换工作目录%cd /home/aistudio/work/Medical-Report-Generation-master
/home/aistudio/work/Medical-Report-Generation-master
## 训练代码#!python trainer.py
## 测试代码!python tester.py
Namespace(crop_size=224, embed_size=512, eval_batch_size=75, eval_json_dir='IUdata/IUdata_test.json', fin_num_layers=2, hidden_size=512, image_dir='IUdata/NLMCXR_Frontal', imp_fin_only=False, imp_layers_num=1, log_step=100, max_impression_len=15, max_sen_num=7, max_single_sen_len=15, model_path='model_weights', num_conv1d_out=1024, num_global_features=2048, num_local_features=2048, num_regions=49, num_workers=2, resize_size=256, save_step=1000, sen_enco_num_layers=3, single_punc=True, teach_rate=0.0, vocab_path='IUdata/IUdata_vocab_0threshold.pkl')
W0427 01:15:13.766130 723 device_context.cc:447] Please NOTE: device: 0, GPU Compute Capability: 7.0, Driver API Version: 10.1, Runtime API Version: 10.1
W0427 01:15:13.769623 723 device_context.cc:465] device: 0, cuDNN Version: 7.6.
100%|████████████████████████████████| 355826/355826 [00:04<00:00, 71365.09it/s]
{'testlen': 1752, 'reflen': 2924, 'guess': [1752, 1452, 1152, 852], 'correct': [985, 426, 206, 89]}
ratio: 0.5991792065661425
{'testlen': 12006, 'reflen': 10539, 'guess': [12006, 11706, 11406, 11106], 'correct': [4721, 2252, 1125, 595]}
ratio: 1.139197267292804
{'testlen': 13758, 'reflen': 13463, 'guess': [13758, 13458, 13158, 12858], 'correct': [5874, 2852, 1452, 744]}
ratio: 1.0219119067071958
Impression: bleu = [0.288, 0.208, 0.1583, 0.1207], meteor = 0.1385, rouge = 0.5113, cider = 1.5829
Finding: bleu = [0.3932, 0.275, 0.1954, 0.1414], meteor = 0.1841, rouge = 0.3206, cider = 0.1415
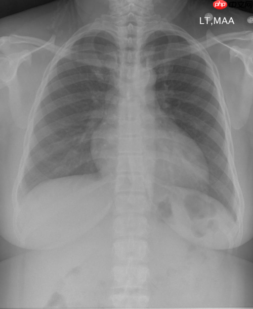
Impression + Finding: bleu = [0.427, 0.3008, 0.2153, 0.155], meteor = 0.1799, rouge = 0.3459, cider = 0.1384| 图片-CXR2230_IM-0831-1001 |
|---|
| @@##@@ |
Findings
mediastinal contours are normal .
heart size is upper limits of normal .
lungs are clear .
there is no pneumothorax or large pleural effusion .
no bony abnormality.
the heart size is normal .
the lungs are clear .
there is no pneumothorax or pleural effusion .
there are no focal areas of consolidation .
no pneumothorax .
no pleural effusion .
no pneumothorax .
Impression
no acute cardiopulmonary abnormality
no acute cardiopulmonary abnormality
根据生成结果,可以发现生成的结果是具有一定的医学语义的。
| 模型 | BLEU_1 | BLEU_2 | BLEU_3 | BLEU_4 | METEOR | ROUGE |
|---|---|---|---|---|---|---|
| Orignal-Paper [1] | 0.416 | 0.298 | 0.217 | 0.163 | 0.227 | 0.309 |
| Pytorch-Result | 0.444 | 0.315 | 0.224 | 0.162 | 0.189 | 0.364 |
| Paddle-Result | 0.4296 | 0.3054 | 0.2175 | 0.1593 | 0.1797 | 0.3478 |
参考论文
[1] Xue, Y., Xu, T., Long, L.R., Xue, Z., Antani, S., Thoma, G.R., Huang, X.: Multimodal recurrent model with attention for automated radiology report generation. In: International Conference on Medical Image Computing and Computer-Assisted Intervention. pp. 457–466. Springer (2018)
[2] Demner-Fushman, D., Kohli, M.D., Rosenman, M.B., Shooshan, S.E., Rodriguez, L., Antani, S., Thoma, G.R., McDonald, C.J.: Preparing a collection of radiology examinations for distribution and retrieval. J. Am. Med. Inform. Assoc. 23(2), 304–310 (2015)

以上就是『IMAGE-CAPTION』基于CNN-RNN的影像报告生成-Ⅰ的详细内容,更多请关注php中文网其它相关文章!
每个人都需要一台速度更快、更稳定的 PC。随着时间的推移,垃圾文件、旧注册表数据和不必要的后台进程会占用资源并降低性能。幸运的是,许多工具可以让 Windows 保持平稳运行。
Copyright 2014-2025 https://www.php.cn/ All Rights Reserved | php.cn | 湘ICP备2023035733号